学術集会

Meeting

レントゲンカンファレンスはこちら

レントゲンカンファレンス症例



第31回 日本画像医学会 (2012年2月)

No.82症例6:35歳男性
【主訴】
1ヶ月前より下腹部の鈍重感。 腫瘤を触知していたが放置していた。
【血液生化学データ】
CRP2.7 WBC 8,800 ESR 65mm/1hr, 107mm/2hrs ALP 559 IU/l


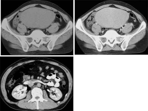
  • 図1 左上:非造影CT(骨盤レベル)/右上: 造影CT遅延相(骨盤レベル)/左下 造影CT遅延相(腎臓レベル)
  • 図2 腫瘤上部レベル
    T1強調像
    T2強調像
  • 図3 腫瘤中部レベル
    T1強調像
    T2強調像
  • 図4 膀胱レベル
    T1強調像
    T2強調像
  • 図5 造影後T1強調像
    正中矢状断像、横断像