学術集会

Meeting

レントゲンカンファレンスはこちら

レントゲンカンファレンス症例



第32回 日本画像医学会 (2013年2月)

No.84症例2:30歳代女性
【主訴】
側胸部~背部痛
【現病歴】
来院2~3日前より、全身倦怠感と頭痛もあり、当院ER受診 体温:37.6℃→子供にも同様の症状あり、感冒との診断で帰宅(感冒薬処方)
症状改善せず、初診から10日後に再受診 胸部CT撮影
PLT 382×103/μl, WBC 6.3×103/μl(Eosino 12.4%, Mono 10%), CRP 4.41mg/dl, ESR 1h 46mm/hr, D-dimer 4.3μg/ml(初診から10日後の異常値のみ)
Septic emboli を疑って抗生剤治療を開始するも、改善せず(初診時から17日後のCT提示)
初診時から18日後に気管支鏡施行
【家族歴】
特記事項なし
【既往歴】
特記事項なし
【血液生化学データ】
特記事項なし


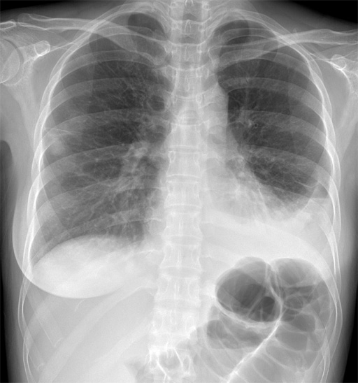
  • 図1 初診時 胸部X線撮影 PA像
  • 図2 初診時から10日後の胸部CT(2.5mm厚)
  • 図3 初診時から11日後 胸部X線撮影 PA像
  • 図4 副鼻腔撮影(Waters 法)
  • 図5 初診時から16日後胸部X線撮影PA像
  • 図6 初診時から17日後の胸部CT(2.5mm厚)
  • 図7 初診時から17日後の胸部造影CT(5mm厚)