学術集会

Meeting

レントゲンカンファレンスはこちら

レントゲンカンファレンス症例



第32回 日本画像医学会 (2013年2月)

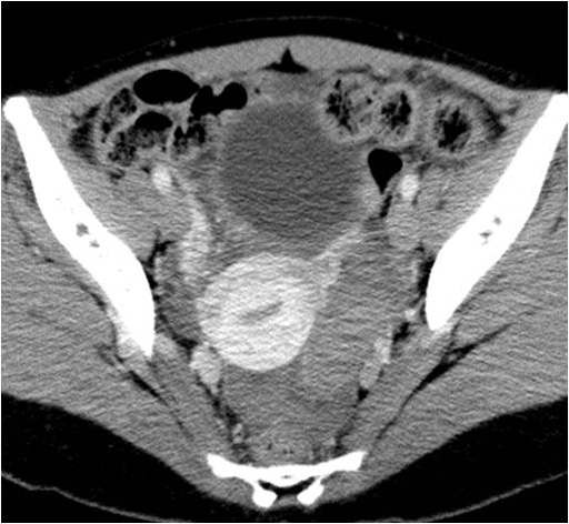
No.87症例5:29才女性
【主訴】
下腹部痛
【現病歴】
安静時に突然の下腹部痛が出現し、当院救急外来受診となった。
【家族歴】
特記事項なし
【既往歴】
関節リウマチで当院通院中
【血液生化学データ】
WBC 5250 /μl、RBC 347x104 /μl、Hb 7.4 g/dl、Hct 25.1 %、Plt 27.8x104 /μl、CRP 0.60 mg/dl、その他特記すべき異常なし。


  • 図1 単純CT
  • 図2 単純CT
  • 図3 造影CT
  • 図4 造影CT
  • 図5 T2強調画像
  • 図6 T2強調画像矢状断像
  • 図7 T1強調画像
  • 図8 T1強調画像
  • 図9 T1強調画像脂肪抑制