レントゲンカンファレンス症例・解答と解説
第35回 日本画像医学会 (2016年2月)
No.103症例3:50歳代 男性
診断:Eosinophilic granulomatosis with polyangitis; EGPA
(Churg-Strauss syndrome)
- 【画像所見】
-
- 肝門部~肝表、門脈周囲に沿って広がる軟部影(perioportal collar)と胆嚢壁の不整な肥厚及び胆嚢周囲の軟部増生を認める。
- ダイナミックstudyにていずれの病変も経時的に濃染する。
- 【鑑別診断】
-
- アレルギー性肉芽腫性血管炎(Churg-Strauss syndrome)
- IgG4関連疾患
- 悪性リンパ腫
- 好酸球性胆管炎/胆嚢炎
- アミロイドーシス
- 【臨床経過】
- 計測機器で測定不能であった白血球分画を鏡検にて計測したところNeut33%、Eos55%と好酸球の異常高値を認めた。
喘息の既往あり、四肢のしびれなど多発性単神経炎を思わせる症状が見られること、血液検査にて好酸球の著明な上昇を認めたことから臨床症状と併せてEosinophilic granulomatosis with polyangitisが疑われた。鑑別としてIgG4関連疾患、悪性リンパ腫、好酸球性胆嚢炎/胆管炎などが考えられた。
確定診断のため肝生検、皮膚生検が施行された。
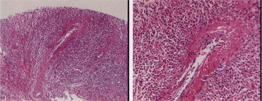
- 【組織生検(肝生検)】
-
組織片の1/3に肉芽腫性の病変が見られ、この肉芽腫性病変には強い好酸球浸潤が認められる。また太い血管に壊死性血管炎の所見を認める。臨床診断のEosinophilic granulomatosis with polyangitisに合致する所見である。Focalに鉄沈着が見られており、肉芽腫に破壊された部位はトギン標本で構造の乱れが見られる。
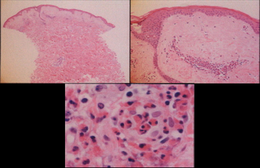
- 【組織生検(皮膚生検)】
-
真皮浅層血管周囲性の炎症性細胞浸潤あり(左上)。表皮はやや萎縮し、真皮乳頭は浮腫上(右上)
真皮浅層の血管内には好中球、好酸球が充満し、血管壁にも好中球・好酸球の浸潤が見られる。血管周囲に浸潤する炎症性細胞は好酸球であり、脱顆粒している(下)。
血管周囲に好酸球が目立ち、脱顆粒している。血管壁にも好中球・好酸球の浸潤が見られ、赤血球の血管外漏出、フィブリン析出は明瞭でないものの血管炎が存在している可能性あり。病理所見からはEosinophilic granulomatosis with polyangitis;EGPA(Churg-Strauss syndrome)として矛盾しない。
解説:
Eosinophilic granulomatosis with polyangitis;EGPA
- 【Eosinophilic granulomatosis with polyangitis;EGPAとは】
- Churg-Strauss syndrome、アレルギー性肉芽腫性血管炎とも言われる
- 気管支喘息
- 末梢血や組織への好酸球浸潤
- 多発性単神経炎を3大主徴とする症候群(ただし3主徴全てが見られるのは20%程度)
で、病理学的には好酸球性血管炎、壊死好酸球周囲の壊死性肉芽腫を特徴とする。
通常喘息と好酸球増加が先行し、血管炎が追随、全身の臓器が冒される。冒される臓器としては肺が最も多く、次いで皮膚病変の頻度が高いとされる。
- 【疫学】
- 比較的稀な疾患で年間約100人ほどが発症するとされる。30~60歳に多く発症し、男性にやや多いとされる(男:女=6:4)。30代後半で全身性の血管炎が見られることが多い。
- 【臨床症状】
- 発熱、体重減少、全身倦怠感などの非特異的症状と、血管炎に侵された臓器の固有症状が見られる(多発性単神経炎、消化管出血、腎炎、心病変、紫斑・皮疹など)。
心病変を伴う事が多く(約50%)、血管炎からの心筋梗塞、心筋炎/心膜炎、心不全などがみられる。
- 【治療】
- 疾患活動性や重症度に応じて治療は異なるが、基本的にはステロイドの全身投与が第一選択で、生命予後に影響する病態や重篤な多発単神経炎に対してはステロイドパルスが行われる。ステロイドに反応しない場合やステロイドの継続投与の困難な場合は免疫抑制剤をステロイドと併用もしくは単独投与で用いる。ステロイド抵抗性の神経障害には大量γ-グロブリン療法が行われる場合もある。その他インターフェロンα、血漿交換などが用いられることもある。
- 【予後】
- 確立したデータはないがステロイドに良好に反応し、短期間で寛解を見ることが多いが、再燃も来たす。一般に予後は良好だが、心や消化管に病変が波及する(出血、穿孔、梗塞、膵炎など)と予後不良となる。
Eosinophilic granulomatosis with polyangitis;EGPAの診断基準
- 【診断基準(厚生労働省)】
-
確実・疑いを対象とする。
-
主要臨床所見
- (1)気管支喘息あるいはアレルギー性鼻炎
- (2)好酸球増加
- (3)血管炎による症状:発熱(38度以上、2週間以上)、体重減少(6ヶ月以内に6kg以上)、多発単神経炎、消化管出血、紫斑、多関節痛(炎)、筋肉痛(筋力低下)
-
臨床経過の特徴
主要所見(1)(2)が先行し、(3)が発症する
-
主要組織所見
- (1)周囲組織に著明な好酸球浸潤を伴う細小血管の肉芽腫性またはフィブリノイド壊死性血管炎の存在
- (2)血管外肉芽腫の存在
-
判定
- 確実(definite):
- 主要臨床所見の3項目+主要組織所見1項目、主要臨床所見+臨床経過の特徴
- 疑い(propable):
- 主要臨床所見の1項目+主要組織所見の1項目、主要臨床所見のみで臨床経過の特徴を満たさない。
- 参考となる所見:
- 白血球増加(1万/ul)、血小板増加(40万/ul)、血清IgE増加(600IU/mL以上)、MPO-ANCA陽性、リウマトイド因子陽性、胸部X線所見(肺浸潤影)/dd>
Eosinophilic granulomatosis with polyangitis;EGPAの病変部位と頻度
| 部位 |
頻度 |
症状・徴候 |
| 全身症状 |
78% |
発熱、全身倦怠、感体重減少など |
| 末梢神経 |
77% |
多発神経炎、知覚神経障害、運動神経障害 |
| 肺 |
61% |
肺炎、好酸球浸潤、肺胞出血、胸水など |
| 皮膚 |
49% |
紫斑、結節性紅斑、網状皮斑 |
| 耳鼻・咽喉 |
93% |
副鼻腔炎、鼻粘膜炎、鼻茸、中耳炎 |
| 関節・筋 |
61% |
関節炎(痛)、筋炎(痛) |
| 心 |
47% |
心外膜炎、不整脈、狭心症、冠動脈炎 |
| 腎 |
19% |
蛋白尿、糸球体腎炎 |
| 中枢神経 |
15% |
15% 脳梗塞、脳出血、脳血管炎、精神症状 |
| 眼 |
12% |
強膜炎 |
Frank M et al.:
A vasculitis centre based management strategy leads to improved outcome in eosinophilic granulomatosis and polyangitis(Churg-Strauss syndrome,EPGA):monocentric experiences in 150 patients. Ann Rheum Dis 2012 Aug 11
- 【本症例のまとめ】
- 消化器病変、肝・胆道病変は非常に稀。
肝胆道系病変に関しては文献的には報告例は散見されるが、画像所見などのまとまった報告はなく、急性胆嚢炎を呈した症例、periportal collarを呈した症例、胆管狭窄を来たした症例など様々。
本症例は胆嚢壁の肥厚、periportal collar、肝表の軟部増生など多彩な所見を呈しており、非常に稀な画像所見を呈した症例であった。
- 【参考文献】
-
- Churg J,Strauss L:Allegic granulomatosis,allergic angiitis, and periarteritis nodosa. Am J Pathol 27:277-301,1951
- Frank M et al.: A vasculitis centre based management strategy leads to improved outcome in eosinophilic granulomatosis and polyangitis(Churg-Strauss syndrome,EPGA):monocentric experiences in 150 patients. Ann Rheum Dis 2012 Aug 11
- A.N.Bennett et al.:Hepatomegaly as a rare presentation of Churg-Strauss syndrome. Rheumatology 2005;44:1458-1459
中野恭幸:A.喘息・気道疾患 Churg-Strauss症候群.別冊 日本臨牀 新領域別症候群シリーズNo9 呼吸器症候群(第2版)(II) -その他の呼吸器疾患を含めて- 9-13
- 大谷哲史ほか:胆嚢炎と好酸球性胃腸症をきたしたChurg-Strauss症候群の1例. 内科Vol109 No.1(2012) 167-170
- 山田豪ほか:胆管狭窄を伴ったChurg-Strauss症候群と考えられた1例.日臨外科会誌66(4),921-925 2005