学術集会

Meeting

レントゲンカンファレンスはこちら

レントゲンカンファレンス症例・解答と解説



第36回 日本画像医学会 (2017年2月)

No.111症例1:72歳 女性
【画像所見】
CT
  • 右頭頂葉皮質下白質に軽度高吸収の腫瘤性病変を認め、周囲に低吸収域を認める。
  • その他両側側脳室周囲白質に大脳皮質と同程度の軽度高吸収の領域を複数認め、造影MRIで認める造影病変の一部に相当する。
MRI
  • 両側大脳半球にリング状~境界不明瞭な造影効果を呈する病変が散在している。
  • 右頭頂葉ではリング状造影病変が互いに近接して集簇している。
  • 上記病変部自体やその周囲にT2強調画像で高信号域を認める。
  • 右側頭葉内側は造影される病変のサイズの割にT2強調画像での信号変化がやや広範囲に及び、T2強調画像での高信号は淡く、軽度腫大を伴う。
18F-FDG-PET
  • FDG集積が最大の病変は、大脳皮質と比較し軽度低い程度のFDG集積を呈する。
  • 体幹部に積極的に悪性腫瘍を疑うFDG異常集積部位は認めない。
  • 甲状腺両葉にびまん性の軽度FDG集積を認める。(既往の慢性甲状腺炎に関連した所見と考える)
鑑別診断
  • 原発不明癌多発脳転移
  • High Grade Glioma
  • 悪性リンパ腫
  • 炎症性病変(感染症、血管炎、脱髄性病変など)
病理組織所見
  • 11C-methionine PET(非提示)で高集積を認めた左頭頂葉深部白質の病変に対して定位脳腫瘍生検を施行した。
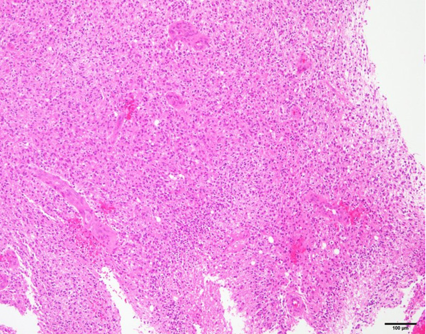
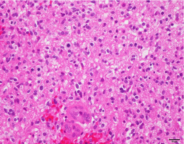
  • 組織学的には、核形不整のある異型グリア細胞が密度高く増生し、一部に壊死巣があり偽柵状配列を辺縁に伴っていた。また一部に内皮細胞の腫大を伴う血管増生を認めた。核分裂像数は23/10 high power fields。
  • 免疫染色では、GFAP:陽性、Olig2:陽性、IDH1:陰性、MGMT:多数に弱陽性で、強陽性も散見される、p53:少数に陽性、Ki-67陽性率:25.6% であった。
上記より、Glioblastoma, WHO Grade IVの診断となった。

  • HE染色 弱拡大

  • HE染色 強拡大

診断:Glioblastoma
(Multicentric Glioblastoma)

【疫学】
  • Glioblastoma(以下、GBM)は最も頻度が高い原発性脳実質内腫瘍で、全頭蓋内腫瘍のうち12-15%程度を占める。
  • GBMが突然発生するprimary GBMと、よりgradeの低いgliomaから発生するsecondary GBMがあり、primary GBMが95%程度を占める。
  • 新生児から高齢者までいずれの年齢でも発生し得るが、好発年齢は45-75歳の間とされる。
  • 女性より男性にやや多く発生する。
【画像所見】
  • CTでは、内部の低吸収域を取り囲む等~軽度高吸収のrimを持つ腫瘤で、周囲に広範に低吸収域を伴う。
  • MRIでは、典型的には厚く不整な壁を有するリング状に造影される腫瘤で、周囲に広範にT2強調画像で高信号域の広がりが認められる。
  • 18F-FDG-PETではFDG集積を認める。
  • 出血は高頻度で認められるが、石灰化は珍しい。
  • 造影効果を有する腫瘤が複数認められた場合、それらの間がT2強調画像やFLAIR画像での異常信号を介して連続していた場合は”multifocal GBM”、連続していなかった場合には”multicentric GBM”と呼ばれる。
【本症例について】
左頭頂葉深部白質の小病変の定位脳腫瘍生検でGBMの診断となったが、その他の病変も一元的に全てGBMと考え、治療が行われた。臨床経過もGBMの診断に特に矛盾しない経過を示した。
2016年の報告にて、GBMの患者のうち複数の造影効果を有する病変を認めた頻度は34%程度であり、これらの症例のうち多くがmultifocal GBMに相当すると考えられたとの記載がある[2]。本症例の場合、各造影病変の間がT2強調画像、FLAIR画像の異常信号で明らかに連続しているとは言えない部分があるため、multicentric GBMと診断した。ただし、GBMの腫瘍浸潤はT2強調画像やFLAIR画像の高信号域を超えて認められうることが知られているため、実際には一連の病変である可能性は十分にあると考えられた。
鑑別診断に挙げられた転移性脳腫瘍について、古い文献であるが、脳転移と診断された患者のうち15%程度は精査にて原発巣が不明であるとの報告があり[3]、18F-FDG-PETは原発巣の同定に有用であるとの報告がある[4]。画像診断機器の進歩により原発巣が発見される頻度は報告当時よりはやや上昇していると思われるが、体幹部に明らかな悪性腫瘍を発見できなかったからといって脳転移を鑑別診断から除外することは困難と思われる。
Retrospectiveに本症例の画像を見返して、gliomaの診断をより支持する画像所見としては
  • CTで軽度高吸収である点
  • 右側頭葉に、造影病変のサイズの割に広範に広がる軽度腫大を伴った淡いT2強調画像高信号病変を認めた点
  • 右頭頂葉におけるリング状に造影される腫瘤性病変の集簇性の存在
などと考えた。
【参考文献】
  1. Anne G. Osborn, Osborn's Brain: Imaging, Pathology, and Anatomy. Amirsys. 2012.
  2. Lasocki A, et al. Multifocal and multicentric glioblastoma: Improved characterisation with FLAIR imaging and prognostic implications. J Clin Neurosci. 2016 Sep;31:92-8.
  3. Nussbaum ES, et al. Brain metastases. Histology, multiplicity, surgery, and survival. Cancer. 1996;78:1781–8
  4. Jeong HJ, et al. Usefulness of whole-body 18F-FDG PET in patients with suspected metastatic brain tumors. J Nucl Med. 2002;43:1432–7.